Salivary Gland
Reduction

Smooth Sharp Jawline

One choice, Mine Plastic Surgery

SCROLL

Korean jawline lifting with minimal scarring

MINE Salivary Gland Reduction Info

Surgery Time

2 Hours

Anesthesia

Sleeping

Daily Life

5 Days Later

Treatment

3 Sessions

Discharge

Day of Surgery

Close-up of a woman’s lower face and jawline, illustrating a slim and contoured look after salivary gland removal.

Protruding Saliva Gland

Smooth with
No Scar

Close of lower jaw showing why this patient needed salivary gland removal.

Salivary gland reduction surgery patient at MINE.

What is Salivary Gland Reduction Surgery?

Salivary gland reduction surgery is a procedure that selectively removes part of the overly developed submandibular glands (submandibular salivary glands), which can appear bulging and lumpy due to their prominence, in order to create a slimmer and smoother jawline.

MINE

Lifting Project

Refind Jawline with
Salivary Gland Reduction

Smooth Jawline with Saliva Gland Reduction
Surgery Results

Female patient 1 before salivary gland removal.

Before

Female patient 1 after salivary gland removal.

After

Female patient 2 45 degree angle view before salivary gland removal.

Before

Female patient 2 after salivary gland removal with more slim jawline.

After

Female patient 3 45 degree angle view before salivary gland removal surgery.

Before

Female patient 3 after salivary gland removal and mini neck lift with sharper lifted jawline.

After

Male patient 45 degree angle view before salivary gland removal surgery.

Before

Male patient after salivary gland removal, mini neck lift., and mini face lift.

After

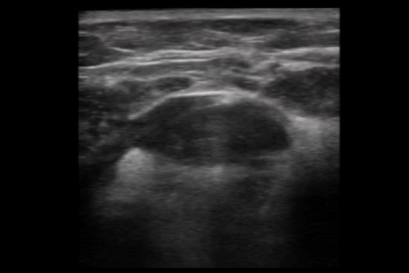
Precise Diagnosis with Ultrasound
Customized Salivary Gland Reduction

Doctor performing ultrasound examination on patient's jaw area during salivary gland removal and double chin consultation.

Ultrasound check before surgery

Ultrasound image of the submandibular area showing salivary gland before removal procedure.

Locate saliva gland and analyze size

MINE precisely analyzes the location and size of the salivary glands using the latest ultrasound examination.
Based on this, only the necessary portion of the enlarged glands is selectively removed,
reducing their size and creating a smoother jawline.

No Need
to Worry About Scar at MINE

Patient left with vertical scar side effect after getting neck cosmetic surgery targeting salivary gland removal from a different clinic.
Patient who did surgery at MINE clinic left with hidden horizontal scar after salivary gland removal and double chin surgery.

Vertical Incision

Easily visible under the chin

Incision along chin crease

Hidden, Not noticeable

Patient left with vertical scar side effect after getting neck cosmetic surgery targeting salivary gland removal from a different clinic.

Vertical Incision

Easily visible under the chin

Patient who did surgery at MINE clinic left with hidden horizontal scar after salivary gland removal and double chin surgery.

Incision along chin crease

Hidden, Not noticeable

When performing salivary gland reduction surgery, it's not just about reducing
the glands — what's more important is the location of the sagging and exposure.
Some clinics perform a long vertical incision along the midline under the chin or along the neck contour for easier access.
While such methods make the procedure feasible, they can leave visible scars or even create psychological stress due to their appearance. Especially when the chin is slightly raised, the scar can become noticeable, causing more distress.

MINE salivary gland surgery is different.
At MINE, we make the minimal incision of about 2.5 cm to 2.8 cm within the first natural neck crease under the chin.
This incision is carefully placed in a location that is not visible externally even when the neck is raised, and through sophisticated suture techniques, the scar naturally becomes lighter over time. Don’t worry about scars—focus on the results.
MINE will take care of it.

When performing salivary gland reduction surgery, it's not just about reducing
the glands — what's more important is the location of the sagging and exposure.
Some clinics perform a long vertical incision along the midline under the chin or along the neck contour for easier access.
While such methods make the procedure feasible, they can leave visible scars or even create psychological stress due to their appearance. Especially when the chin is slightly raised, the scar can become noticeable, causing more distress.

MINE salivary gland surgery is different.
At MINE, we make the minimal incision of about 2.5 cm to 2.8 cm within the first natural neck crease under the chin.
This incision is carefully placed in a location that is not visible externally even when the neck is raised, and through sophisticated suture techniques, the scar naturally becomes lighter over time. Don’t worry about scars—focus on the results. MINE will take care of it.

Close-up of chin and neck showing where the incision would be located for salivary gland removal and double chin surgery.
Horizontal scar 2 months after salivary gland removal, showing reduced swelling and improved jawline definition.
Neck profile 3 months post salivary gland removal with noticeably slimmer and more contoured lower face and hidden scar.
Scar result 4 months after salivary gland removal, highlighting a sharp and well-defined jawline and barely showing scar.

Incision

2 Months

3 Months

4 Months​

Horizontal scar 2 months after salivary gland removal, showing reduced swelling and improved jawline definition.

Incision

2 Months

Neck profile 3 months post salivary gland removal with noticeably slimmer and more contoured lower face and hidden scar.
Scar result 4 months after salivary gland removal, highlighting a sharp and well-defined jawline and barely showing scar.

3 Months

4 Months

Salivary Glands, Fat, Muscles

MINE takes a different approach.

Anatomical illustration of the neck highlighting the submaxillary gland and surrounding tissues, used to explain salivary gland removal.

A double chin and sagging jawline are not caused by fat alone. Because the salivary glands, fat, and muscle layers are intricately intertwined, MINE Plastic Surgery Clinic takes all these anatomical structures into consideration. Through a multi-step process including salivary gland reduction and precision fat sculpting, we customize a sophisticated surgical plan to restore a refined and youthful jawline.

Subcutaneous and Submusclar fat removal

Salivary gland reduction

Platysmaplasty for sagging muscles

Check Removed Salivary Glands with Your Own Eyes

At MINE Plastic Surgery,
based on extensive experience in salivary gland removal procedures,
we show you the actual glands and fat tissues removed during surgery.

Salivary glands that were removed during salivary gland removal surgery, placed on medical gauze for documentation.
Large saliva gland tissues displayed post salivary gland removal surgery.
Two gland samples shown side by side that were removed after salivary gland removal procedure.
Symmetrical specimens laid out after successful salivary gland removal.
Compact tissues shown after salivary gland removal, placed on sterile cloth.
Smooth-textured glands documented after salivary gland removal.
Medical grid used to measure gland size after salivary gland removal.
Multiple huge irregular glands displayed after salivary gland removal procedure.
Bulky gland samples displayed on measuring mat post salivary gland removal."
Dense and fatty saliva gland tissues laid out after salivary gland removal.
Multiple sections presented for analysis following salivary gland removal.
Cross-sectioned tissue shown after salivary gland removal for surgical documentation.
Salivary glands that were removed during salivary gland removal surgery, placed on medical gauze for documentation.
Large saliva gland tissues displayed post salivary gland removal surgery.
Two gland samples shown side by side that were removed after salivary gland removal procedure.
Symmetrical specimens laid out after successful salivary gland removal.
Compact tissues shown after salivary gland removal, placed on sterile cloth.
Smooth-textured glands documented after salivary gland removal.
Medical grid used to measure gland size after salivary gland removal.
Multiple huge irregular glands displayed after salivary gland removal procedure.
Bulky gland samples displayed on measuring mat post salivary gland removal."
Dense and fatty saliva gland tissues laid out after salivary gland removal.
Multiple sections presented for analysis following salivary gland removal.
Cross-sectioned tissue shown after salivary gland removal for surgical documentation.

*Actual saliva gland that was removed from surgery patients at MINE.

Saliva Gland Botox vs Saliva Gland Reduction

What is the difference?

Salivary Gland Reduction

Removes part of the salivary gland under the jaw to define the jawline

Irreversible (the removed tissue does not regenerate)

Takes about 1 hour

Requires delicate technique due to nearby nerves and blood vessels

VS

Method and Effect

Duration

Procedure Time

Side Effects & Precautions

VS

Salivary Gland Botox

Temporarily reduces the size of salivary glands by up to 10% by injecting Botox to suppress their function

Lasts about 3–6 months (requires repeat treatments)

Takes approx. 5 minutes

Needs to be repeated due to temporary effect

Refined Jawline with
Salivary Gland Reduction

Refined Jawline with
Salivary Gland Reduction

High-Precision Ultrasound Examination

Analyze the skin layers down to the platysma muscle using ultrasound to plan a customized surgery.

Nerves, Blood Vessels Preservation

Identify the structure of nerves and blood vessels to perform a safe and precise surgery.

Scar-Minimizing
Incision

Incisions are along natural wrinkle lines in inconspicuous areas so scars are barely noticeable.

Natural Contour Enhancement

Instead of simply removing tissue, we consider facial proportions and balance to create a naturally refined contour line.

Young woman with a defined jawline and smooth facial contours after salivary gland removal.

Who needs
Salivary Gland Reduction?

01

When the salivary glands are excessively enlarged,
making the area under the chin appear bulging.

02

When one side of the salivary gland is more prominent,
causing facial asymmetry.

03

When you want a sharper jawline or a more defined V-line.

04

When the salivary glands protrude after
double chin surgery or facial contouring surgery.

05

When salivary gland Botox injections are ineffective.

Salivary Gland Reduction
delivers visible results with minimal incision.

Check out the impressive changes in real patients
who received salivary gland reduction surgery at Mine Clinic.

Woman with visible saliva gland and double chin in need of salivary gland removal and double chin surgery.

Before Surgery

One week after salivary gland removal showing reduced swelling and early contour improvement.

1 Week

One month post salivary gland removal showing more defined lower face and jawline.

1 Month

Two months after salivary gland removal with noticeable slimming of the lower face.

2 Months

MINE Lifting Solution by Age

Depending on the amount of sagging and sagging angle,
we design a 1:1 surgery plan for each individual and age group.

Effect

Skin Sagging

20s

Laser lifting
Skin injection

Procedure

30-40s

Mini Lift
Mini Smas Lift
Mini Neck Lift
Forehead Lift

40-50s

Face Lift Smas
Neck Lift
Forehead Lift

50-60s

Face Lift Smas
Neck Lift
Forehead Lift

Surgery

Salivary Gland Reduction Surgery Method

STEP 01

An incision of 2.8cm–3cm is made along the jawline wrinkle to remove double chin fat.

STEP 02

The protruding portion of the salivary gland is removed. Then, the underlying muscle (platysma) is tightened, and the incision site is sutured to complete the procedure.

MINE
LIFTING PROJECT

Side view of a woman with a protruding saliva gland before salivary gland removal.

Q.
Is there any problem with saliva production or swallowing after removing part of the salivary gland?

MINE PLASTIC SURGERY

A.
There are three major salivary glands (parotid, submandibular, and sublingual), and even if only part of one is removed, it does not affect saliva production or swallowing function. At Mine Clinic, we do not excessively remove the glands — only the visibly protruding parts are selectively and safely removed.

Side view of a woman showing a slimmer jawline after salivary gland removal.
Profile view of a woman with lower face fullness before salivary gland removal

Q.
Can I eat or talk right after the surgery?

MINE PLASTIC SURGERY

A.
Since the surgical area is under the chin, chewing, speaking, and everyday conversation are all possible immediately after the procedure without any major issues. However, it is recommended to avoid very tough or hard foods. During the recovery period, soft foods are preferred over irritating or chewy meals.

Profile view of a woman showing a defined jawline after salivary gland removal
Side view of a woman with a bulky lower face before salivary gland removal.

Q.
Will the salivary glands grow back after removal?

A.
Removed salivary glands do not grow back. There may be temporary swelling after surgery, but this naturally subsides during the healing process.

Side view of a woman with a slimmer jawline after salivary gland removal.

MINE PLASTIC SURGERY

Q.
Is there any problem with saliva production or swallowing after removing part of the salivary gland?

A.
There are three major salivary glands (parotid, submandibular, and sublingual), and even if only part of one is removed, it does not affect saliva production or swallowing function. At Mine Clinic, we do not excessively remove the glands — only the visibly protruding parts are selectively and safely removed.

Q.
Can I eat or talk right after the surgery?

A.
Since the surgical area is under the chin, chewing, speaking, and everyday conversation are all possible immediately after the procedure without any major issues. However, it is recommended to avoid very tough or hard foods. During the recovery period, soft foods are preferred over irritating or chewy meals.

Q.
Can I eat or talk right after the surgery?

A.
Since the surgical area is under the chin, chewing, speaking, and everyday conversation are all possible immediately after the procedure without any major issues. However, it is recommended to avoid very tough or hard foods. During the recovery period, soft foods are preferred over irritating or chewy meals.

MINE PLASTIC SURGERY

Safety first. MINE Plastic Surgery

We aim for

safe and definite lifting.

MINE lifting experienced surgeon will conduct
the surgery according to the patient's wrinkle and sagging amount
for safe and effective surgery results.

Dedicated Medical Staff

All process from consultation to surgery to post-op care is managed through our medical staff to ensure satisfying results.

Surgery Observation Deck

The guardian can observe the surgery from the observation room with the patient's agreement .

On Board Anesthesiologist

On board anesthesia specialist will control the anesthesia and monitor the patient's vitals always prepared for all possible situations .

hospital-introduction-safe-anaesthesia-system-mo

Safe Anesthesia System

Monitoring device, UPS system, oxygen supplier, body temperature maintenance, 3D CT, sterilization system, air shower system .

Premium After Care

We provide post-op care services to improve scar pigmentation, post-op pain management and anti-inflammatory treatment, and laser treatment for faster cell restoration.

First Aid System

Dantrolene and heart defibrillator are prepared for safety measures. All medical staff and employees receive education regularly regarding first aid care and safety protocol.